你有沒有過胃痛、胃脹的經驗,然後擔心胃黏膜是不是受傷了?胃黏膜修復時間到底要多久?這問題困擾很多人,尤其是生活壓力大的現代人。我曾經因為工作熬夜,飲食不規律,胃痛到不行,去看醫生才知道胃黏膜受損。從那時起,我花了很多時間研究,發現胃黏膜修復沒那麼簡單,但也不是無解。今天,我就來分享我的經驗和學到的知識,幫你搞懂胃黏膜修復是怎麼回事。
什麼是胃黏膜?為什麼它需要修復?
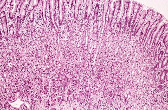
胃黏膜就是胃內壁的那層薄膜,厚度大約0.5到1.5毫米,別看它薄,功能可大了。它主要負責分泌胃酸和消化酶,幫助分解食物,同時保護胃壁不受胃酸侵蝕。你可以把它想像成胃的防護罩。
但這個防護罩很脆弱。當你吃太辣、喝酒、壓力大或感染幽門螺旋桿菌時,胃黏膜就可能受損。受損後,胃酸直接接觸胃壁,就會引起發炎、潰瘍,甚至出血。我朋友就是個例子,他愛喝咖啡,一天三四杯,結果胃常常不舒服,檢查發現胃黏膜輕度發炎。
胃黏膜的結構與功能
胃黏膜分成好幾層,最表層是上皮細胞,它們會不斷更新。正常情況下,胃黏膜細胞每3到5天就會更新一次,這就是為什麼胃有自我修復能力。但如果你一直傷害它,修復速度就跟不上破壞速度。
胃黏膜修復需要多長時間?
這可能是你最關心的問題。胃黏膜修復時間沒有固定答案,因為它因人而異。根據醫學研究,輕微受損,比如輕度發炎,可能在幾天到一週內修復。但如果是潰瘍,可能需要幾週甚至幾個月。
我問過腸胃科醫生,他說一般胃黏膜修復週期大約是3到7天,但前提是你停止傷害它。如果繼續抽菸喝酒,修復時間會拖更久。這就像傷口結痂,你一直去抓它,永遠好不了。
影響修復時間的關鍵因素
為什麼有些人修復快,有些人慢?以下表格整理幾個主要因素:
| 因素 | 如何影響修復時間 | 實例說明 |
|---|---|---|
| 飲食習慣 | 吃刺激性食物會延緩修復;均衡飲食則加速。 | 每天吃辣,修復時間可能延長50%。 |
| 生活壓力 | 壓力大會減少胃血流,減慢修復。 | 工作壓力大時,我感覺胃痛更頻繁。 |
| 年齡 | 年輕人修復較快;老年人較慢。 | 年長者胃黏膜更新速度下降。 |
| 疾病狀況 | 如感染幽門螺旋桿菌,需先治療才能修復。 | 台灣衛生福利部資料顯示,幽門螺旋桿菌感染率約30%。 |
從表格可以看出,胃黏膜修復時間不是單一因素決定。你需要全面調整,才能有效縮短修復期。
如何加速胃黏膜修復?實用方法大公開
知道了修復時間,接下來就是怎麼做。我從醫生和營養師那裡學到幾招,親身實踐後確實有效。
飲食調整:吃對食物助修復
食物是修復胃黏膜的關鍵。不是所有食物都友好,有些反而會搗亂。
推薦食物:
- 高纖維食物:如燕麥、香蕉,能保護胃壁。我早餐常吃燕麥粥,胃感覺舒服多了。
- 富含膠質的食物:如山藥、秋葵,它們的黏液可以覆蓋胃黏膜,減輕刺激。試試山藥排骨湯,很溫和。
- 蛋白質:如雞蛋、豆腐,提供修復原料。但烹調方式要清淡,避免油炸。
避免食物:
- 辛辣食物:辣椒、胡椒會直接刺激胃黏膜。
- 咖啡和茶:咖啡因增加胃酸分泌,不利修復。我戒掉咖啡後,胃痛次數減少。
- 酒精:酒精是胃黏膜殺手,修復期間絕對要避開。
生活習慣:避免傷害胃黏膜
除了吃,生活習慣也很重要。
首先,減壓。壓力大時,胃血流減少,修復變慢。我試過冥想和散步,效果不錯。每天花10分鐘深呼吸,胃部緊繃感會緩解。
其次,規律作息。熬夜會打亂身體修復節奏。我曾經熬夜趕工,結果胃痛復發,修復時間拖了兩週。
最後,戒菸。菸草中的化學物質會直接損害胃黏膜。台灣國民健康署的報告指出,吸菸者胃潰瘍風險更高。
常見誤區與專家建議
很多人對胃黏膜修復有誤解,我來澄清幾個。
誤區一:吃胃藥就能加速修復。 胃藥如制酸劑只能緩解症狀,不治療根本。長期依賴反而掩蓋問題。醫生告訴我,胃藥是輔助,不是解決方案。
誤區二:修復時間越短越好。 其實,過快修復可能不徹底。胃黏膜需要時間重建結構,操之過急容易復發。
誤區三:只有老年人才需要擔心。 年輕人因為飲食不當,胃黏膜受損也很常見。我身邊不少30歲的朋友就有胃病。
專家建議:胃黏膜修復要耐心。結合飲食、生活調整,必要時尋求醫療幫助。參考台灣消化系醫學會的指南,他們強調綜合治療。
FAQ:關於胃黏膜修復時間的疑問解答
胃黏膜修復時間是個複雜但可管理的話題。從我的經驗看,關鍵在於耐心和全面調整。不要期待速效,而是把修復融入日常生活。如果你有胃部不適,建議諮詢醫生,獲取個人化建議。希望這篇文章幫到你,讓你的胃健康起來。